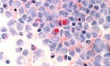
SUS estuda adoção de tratamento promissor contra câncer; Terapia celular CAR-T pode tratar linfomas...
O tratamento de alguns tipos de câncer, desenvolvido pelo Instituto Butantan, Universidade de São Paulo (USP) e Hemocentro de Ribeirão Preto tem apresentado bons...
Hospital Dom Malan alerta sobre doenças respiratórias e como identificar os sinais de quando...
Com o outono produzindo temperaturas mais baixas na região, o Hospital Dom Malan, no Sertão de Pernambuco, faz um alerta sobre quando pais e...
Casos de crianças com doenças respiratórias crescem em Juazeiro e Petrolina, no Vale do...
Nos últimos meses, as emergências de saúde dos municípios de Juazeiro, no Norte da Bahia, e Petrolina, no sertão de Pernambuco, têm registrado um...
Secretária de Saúde da BA emite alerta para municípios por causa da gripe aviária
O Centro de Informações Estratégicas em Vigilância em Saúde – CIEVS Bahia emitiu para os municípios, nesta terça-feira (23), um Comunicado de Risco com...
“Estou aflita e desesperada”: diz mãe de bebê que está internado na Unidade...
Uma criança de apenas 7 meses está internada na Unidade Pediátrica de Juazeiro, no Norte da Bahia, aguardando uma regulação para outro hospital. O...
Perícia detecta fungos e ovos de parasita em molho de tomate da Fugini
Uma perícia, concluída nesta terça feira (16), realizada pelo Instituto-Geral de Perícias (IGP) do Rio Grande do Sul detectou a presença de fungos e ovos de...
Governo do Estado ofertará consultas e exames gratuitos na orla 2 de Juazeiro entre...
O Governo da Bahia vai realizar a partir dessa quinta-feira (18) o Programa Saúde Mais perto de Você, na orla 2 do município de...
Adoçantes sem açúcar não devem ser utilizados para controlar o peso, diz OMS
Foi lançada nesta segunda-feira (15), pela Organização Mundial da Saúde (OMS), uma nova diretriz a respeito dos adoçantes sem açúcar. Segundo o documento, esse tipo...
Pólio segue como única emergência global mantida pela OMS
Após a alteração do status da covid-19 e da mpox (varíola dos macacos), a poliomielite figura atualmente como a única emergência em saúde pública...













